Acest site folosește cookies. Continuarea navigării implică acceptarea lor. Mai multe informatii aici
OK

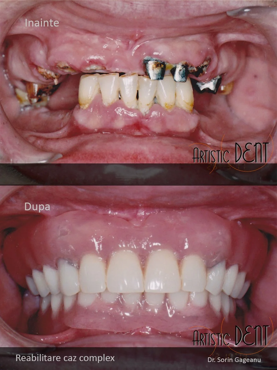
Reabilitări orale cazuri complexe

Medicii clinicii noastre se pot mândri cu o bogată cazuistică cu finalitate scondată și predictibilă. Reabilitarea orală înseamnă un tratament stomatologic complex bine gandit, unic și personalizat pentru fiecare pacient în parte.