Traumatismele oro-dentare

Traumatismele oro-dentare sunt evenimente neplacute ce afecteaza anual un numar crescut de persoane. Acestea se produc mai ales la nivelul dintilor frontali superiori si survin in urma unor usoare accidente auto, in urma lovirii cu obiecte contondente, si pentru ca afecteaza mai mult sexul feminin, se mai pot datora accidentelor casnice sau a lesinului de natura carential-nutritionala.
Ce este de facut in cazul unui astfel de eveniment:
In primul rand este indicat ca femeile sa nu faca anumite treburi casnice care ar implica un efort fizic intens sau ar necesita catarari pe scaune, mese, scari etc. atunci cand sunt singure acasa.
In cazul unui traumatism dentar este obligatoriu sa se apeleze telefonic imediat, indiferent de ora, medicul stomatolog. Acesta, din discutia telefonica sau dupa vederea cazului, va decide felul traumatismului si daca acesta poate fi tratat in cabinet sau este nevoie de o interventie spitaliceasca.
Pentru ca tratamentul sa fie un succes, este bine ca timpul scurs intre accident si interventia terapeutica sa fie cat mai scurt.
Daca va confruntati cu situatia in care un dinte a cazut complet din gura, este interzisa pastrarea acestuia in apa sau in servetel. Dintele va fi pus ori in ser fiziologic ori in lapte, iar in lipsa acestora persoana accidentata il va tine in gura, in saliva, intre obraz si maselele de jos, ca pe o bomboana. Acesti dinti, de cele mai multe ori pot fi replantati de catre stomatolog. Replantarea se poate face in MAXIM 2 ORE DE LA ACCIDENT.
Prezentare de caz:
Intr-o sambata dimineata, sunt sunat de un vechi prieten si imi spune ca sotia lui a avut un accident casnic care a dus la traumatismul dintilor frontali superiori. Dupa o scurta anamneza la telefon, imi dau seama de gravitatea si complexitatea cazului si ma gandesc ca cel mai bine este sa mearga direct la departmentul de chirurgie, la facultatea de stomatologie, unde speram ca se va ocupa un medic cu experienta in traumatologie. Ajunsa acolo, i s-a refuzat tratamentul pe baza faptului ca nu au dotari si materiale pentru tratament. Auzind acestea am luat decizia de a interveni personal, de urgenta, in weekend:
Pasul 1 – la 12 ore de la traumatism: anestezie puternica, repozitionarea manuala a dintilor (4 dinti afectati in grade diferite) in pozitia lor naturala si imobilizarea lor provizorie cu otel inoxidabil ( figurile 1 si 2)
Pasul 2 – la 2 zile, control si igienizare zona
Pasul 3 – la 3 saptamani de la traumatism, am inlocuit imobilizarea provizorie cu una pe termen lung, din material compozit, mult mai confortabila pentru pacient (figura 3)

Pasul 4 – la 2 luni: control si igienizare a zonei afectate (figura 4)

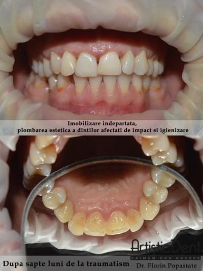
Pasul 5 – la 7 luni de la traumatism, am indepartat imobilizarea si am aplicat plombele estetice pe dintii afectati. (figura 5)

In prezent pacientul este recuperat si se afla sub observatie cu control si radiografie la 6 luni. Dintilor nu li s-a scos nervul!
Dr. Florin Popastate
Lasă-ne un comentariu